UPDATE
A known, but uncommon complication has arisen from my first surgery. This has made it necessary for me to go in for some corrective measures.
I will be Traveling to the Rainbow Babies and Children's Hospital in Cleveland to be operated on by a top neurosurgeon in the field of endoscopy.
Surgery was scheduled for Friday June 4, 2004.
CLICK HERE TO SEE A VIDEO CLIP OF THE SURGERY!
UPDATE 6-13-04
The neurosurgeon I had (Dr. Alan Cohen) is a specialist in pediatrics at the Rainbow Babies and Childrens' Hospital (click here for link to Dr Cohen). I was very fortunate to be able to get on his schedule and can't thank both the doctor and Helen enough for coordinating all that needed to be done in order for this to happen.
Dr. Cohen was able to perform the procedure through an endoscope, which is less invasive than a full craniotomy and was a significant factor in speeding up my recovery.
Pictures from the first Surgery on August 15, 2003

Thank you very much for your support during my surgery and recovery. The doctor was able to successfully remove my brain tumor and it was not cancerous (as is the nature of the tumor that I had).
Apparently, this is a genetic defect that is acquired at birth but generally fails to become an issue until much later in life when it grows to a point where it blocks the flow of cerebrospinal fluid and becomes a medical emergency.
To learn more about this condition, click on any of the following links.
http://uscneurosurgery.com/glossary/c/colloid%20cyst.htm
http://brighamrad.harvard.edu/Cases/bwh/hcache/51/full.html
http://www.neurosurgery.org/health/patient/answers.asp?DisorderID=51
With only a half hour before surgery, the webmeister's wits are still at their peak.

How's it going Mr. Clean, should we get you a mop and bucket?

6 days after surgery...just before the staples are removed.


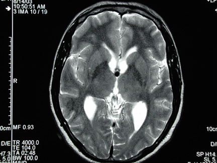
The bright spot is the cyst

The cyst is at the bottom of the butterfly shaped ventricles of fluid

Once again, it's the dark spot

Not very clear, but larger than you'd think!
Special thanks to Dr. Paul Davis for sharing these images with us!

Starting the hair growing process!